泰立醫事放射所

相信每一個人都想擁有美麗的笑容。無論在社交或工作場合﹐健康燦爛的笑靨都會帶給你多一點自信,多一些親切感。牙齒矯正(齒列矯正)治療是借助牙齒矯正器把牙齒移至一個理想的位置,是一項複雜的牙科治療,接受齒列矯正治療前應先見牙齒矯正科醫生,清楚了解自己的口腔 情況及牙齒矯正(齒列矯正)治療的細節。齒列矯正治療是件辛苦的事,但也可以化繁雜為簡單,但必須在正確的時機做正確的決定才可能辦得到,也就是說在異常 咬合還沒有完全形成之前,就要去做阻斷的工作,當年齡到了須要做齒列矯正工作時,矯正工作就變成一件輕鬆愉快的事了。 

矯正的年齡是不分大小的,在國外有醫生發表:因為現代人營養情況良好,青少年與老年人在生理上的差異變小,只要牙齒沒有嚴重的牙周病、成人也可以矯正牙齒;成人矯正治療所需的時間,其實不見得比小孩子長。

小朋友在七八歲到十、十一歲這段時間,是乳齒與恆齒交替的階段,也是齒列矯正治療的一個關鍵期。齒列矯正在這個時期係第一階段治療,可觀察換牙情形,阻遏下巴過度生長,或者調整牙床的寬度,在咬合不正形成前提早調整、防範,等十二歲換牙完成時,就能擁有一口令人豔羨的貝齒了。

矯正總共分為三類,就是齒列矯正、顎骨矯正還有手術矯正,依照病人不同的情況,來判定齒列矯正治療的方式,在齒列矯正治療之前,我們會先為病人照X光,瞭 解其牙齒排列的情形和顎骨的狀況,然後在決定如何治療。以戽斗為例:正常的牙齒應該是上排蓋住下排,戽斗則是相反。如過病人是孩童,而且病情輕微,那麼用牙齒矯正就可將其改善。如果情況較為嚴重,就得讓病人帶顎骨矯正裝置,這就是顎骨矯正了。如過病人是成人,而且戽斗相當嚴重的話,就必須切除下顎的骨頭,這種就叫手術矯正了。

現在除了有白磁矯正器取代大鋼牙之外還可以把矯正器裝在舌(內)側,矯正的過程外表看不出來。至於加裝戴在頭臉上的矯正頭套現在已有新的方法取代,把鈦合 金釘子釘到齒槽骨上利用它來拉牙齒,外表一點也看不到,而且它也是很穩定的錨錠設計,植釘矯正的效果很快也不痛,完全沒有不舒服的感覺,讓齒列矯正變成快速又簡單。

矯正牙齒按部就班咬合正常又變美

年輕人愛美不怕痛,除了對於整形、美容的接受度逐漸增高,「正顎手術」、「齒顎矯正」也不再是年輕人望之卻步的一種治療了!

台中市一名十九歲的廖小姐,在依序接受齒顎矯正、牙齒自體移植、正顎手術等治療後,原本歪斜不整齊的牙齒、戽斗的下巴通通不見了,目前不但可正常咀嚼進食,臉型外觀也更加亮麗,不少朋友還以為是做了整形手術。

目前就讀專科的廖小姐表示,想起以前缺牙、牙齒不整齊、下巴戽斗的模樣,常讓她不敢露出牙齒開懷大笑,現在經過齒顎矯正、正顎手術、牙齒自體移植、假牙裝置等治療後,不僅吃東西能很順利的將食物咬斷,臉型也變的更漂亮了。廖小姐說,雖然兩年來為了矯正牙齒,正顎手術治療時經歷過六週只能吃流質、臉頰腫麻、牙齒痠痛等痛苦過程,但是看到矯正後的改變,覺得吃再多苦頭都值得了,許多很久不見的朋友都以為自己去整形了。

另一位二十三歲的陳小姐也是剛完成正顎手術的成功案例,她表示,自己從小下巴就有戽斗的情形,由於要等到成年後才可以進行正顎手術,所以直到前年才就診,去年動了正顎手術,現在矯正完成後臉型、牙齒排列都跟正常人一樣,也沒有咬合不正的問題了。

牙齒矯正治療的最佳時機,是在十五歲以內骨骼尚未完全發育完成前開始;正顎手術則最好等待青春期過後,顎骨生長穩定後再進行,齒顎矯正前需與醫師詳細討論,矯正完成後也別忘了定期回診,才不會讓辛苦而漫長的過程白費掉。

何謂齒顎矯正?

愛美是天性,擁有一口具齒更是令人稱羡,但齒列矯正並非袛是趕時髦漂亮,更重要是重建口腔應有之功能,讓人生變彩色。 

所謂齒列矯正是指藉由裝置改善顏面骨異常之發育和重新排列不整齊的牙齒進而達到下列之治療目的:  
  1. 恢復咀嚼功能進而幫助消化及營養吸收。
  2. 口腔衛生容易維護,間接可以預防齲齒及牙周病。
  3. 恢復臉形的美觀,對自己產生信心,並獲得人格正常發展。
  4. 發音正確,增加學習的效果。
  5. 嘴唇的閉合及齒列的完整,避免口腔粘膜乾燥及增進口腔對感染的扺抗力。

齒顎矯正治療的範圍

牙列擁擠、牙齒空隙太多、暴牙、戽斗、下頜後縮、深咬、開咬......等情形,都可以由矯正治療得到改善,如舐舌頭、吸手指、咬下唇、吸奶嘴等,習慣養成已久會造成上下門齒的位置改變,甚    至影響整個齒列、骨骼及外觀。

齒顎矯正的治療方法有那些?

固定性的矯正器

依患者之需求選用金屬或透明陶瓷、複合物之矯正器,以膠質黏在牙齒的外側或內側,作為力量傳導至牙齒的媒介。

活動性的矯正器

利用矯正板戴在口內容易保持口腔衛生,但病人不合作,不肯戴矯正板就無效了。

顎骨矯正器
  1. 口外牽引器戴在頭部產生拉力,以影響骨骼生長。
  2. 口內型功能矯正裝置以肌肉及咬合力產生力量,影響下臉部發育。
    顎骨矯正須在青春期前開始(男性在十五歲前,女性約在十二歲前)才有顯著之療效。

矯正治療過程中會有怎樣的不適?

剛裝上矯正器前三、四天會有牙齒酸軟的感覺,可能需要吃軟一點的食物。慢慢地適應之後,飲食就可逐漸恢復正常.但對於較硬的食物,盡可能切薄一點或事先進行 絞碎在吃,以免將矯正器卡掉。另外,突出的矯正器或矯正線可能會刮傷口腔粘膜,可先用醫師為您準備的軟臘覆蓋突出的部分,再與醫師約診處理。每次調整換弓 絲後,牙齒可能又會酸軟三、四天,之後便會慢慢恢復正常。

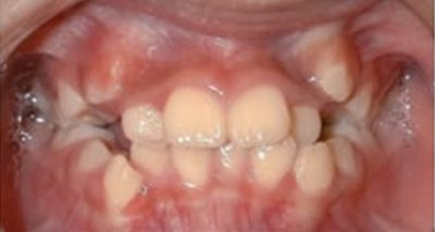
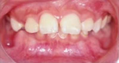
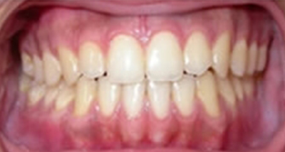
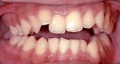
齒列擁擠
矯正前
矯正後
開咬
矯正前
矯正後
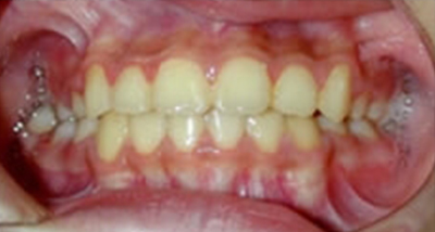
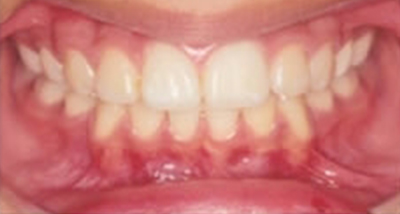
下顎後縮
矯正前
矯正後